Müllerian duct anomalies
Bertine Stehouwer, Wouter Veldhuis and Manon Braat
Department of Radiology of the Meander Medisch Centrum of Amersfoort and of the University Medical Center of Utrecht, the Netherlands
Publicationdate
Variant anatomy and true anomalies of the female internal genitalia are very common. Diagnosis is important, not only to understand future risk of complications, but also because some anomalies may benefit from treatment.
Attempting to master this topic by simply memorizing different variants is a suboptimal approach: Müllerian duct anomalies (MDAs) are not a discreet set, but a continuous spectrum of aberrations. With a little knowledge of the underlying embryology, clinical classifications of MDAs are easier to understand, and the reader is better equipped to deal with the inevitable overlap in appearance encountered in clinical practice.
This article begins with a very brief summary of embryological Müllerian duct development and then takes you through the spectrum of MDAs on the basis of the European (ESHRE/ESGE) consensus classification, providing more in-depth developmental details along the way.
Imaging protocols are also briefly addressed, and we provide a checklist to help with reporting of MDAs.
Embryology
The female reproductive tract develops from a pair of Müllerian ducts that form the fallopian tubes, uterus, cervix and the upper two-thirds of the vagina.
The ovaries and lower third of the vagina have a different embryological origin (genital ridge and urogenital sinus, respectively).
First there is formation of the paired Müllerian ducts, followed by fusion of the two ducts into a single uterus, cervix and upper vagina.
Finally resorption of the septum will lead to a normal
cavum.
Failure of formation of the Müllerian ducts can result in an aplastic or
hemi-uterus.
Failure or incomplete fusion of the ducts can result
in a bicorporeal uterus.
Non or incomplete septal resorption results in a septate uterus.
Associated anomalies
There is a close relation between the paramesonephric ducts of Müller and the mesonephric ducts of Wolff.
The latter play an important role in development of the urinary tract and the kidneys.
Therefore abnormalities of the urinary tract often coexist with MDAs, in 30-50% of cases.
Usually urinary tract anomalies are unilateral and ipsilateral to the malformed Müllerian duct derivative.
The incidence of vertebral anomalies is higher in patients with an MDA and reported in up to 29% of cases.
Classification of Müllerian duct anomalies
The table shows the European classification system ESHRE/ESGE from 2013.
Class U0 is a normal uterus
Class U1 is a dysmorphic shaped uterus either as a T-shaped cavum due to abnormally thick uterine walls or as a T-shaped cavum due to an abnormal outer contour (infantilis).
Class U2 is the result of failure of resorption of the septum. There is an internal indentation. The outer contour of the uterus is normal and this differentiates the septate uterus from the bicorporeal uterus.
Class U3 is a bicorporeal uterus with a left and right corpus as a result of failure of fusion. The outer contour is abnormal with an external cleft of the fundus. A bicorporeal septate uterus has both an external cleft and a septum.
Class U4 is a hemi-uterus as a result of unilateral failure of formation of the Müllerian duct.
Class U5 is an aplastic uterus as a result of bilateral failure of formation of the Müllerian ducts.
Class U6 are unclassified cases
Imaging

Hysterosalpingography
Müllerian duct anomalies are often first detected on hysterosalpingography (HSG) during the work-up of infertility.
HSG has a limited role in the diagnosis of MDA's as it only gives information about the uterine cavity and not about the external contour of the uterus.
The next step in the diagnosis is often ultrasound or MRI.
Ultrasound
Transabdominal and transvaginal ultrasound are often the first imaging modalities used to evaluate the internal sex organs.
When indeterminate or complex, MR imaging is used.
The transabdominal ultrasound shows a uterus with normal external contour of the fundus.
Internal indentation in the cavum is present continuous to the level of the internal os of the cervix.
Classification: U2b - complete septate uterus.
MRI
MRI is considered the gold standard in the classification of MDAs due to the detailed anatomic information provided.
In this patient the HSG shows a single, off-midline cavity with a hydrosalpinx.
Further analysis was done with MRI.
Continue with the MR-images.
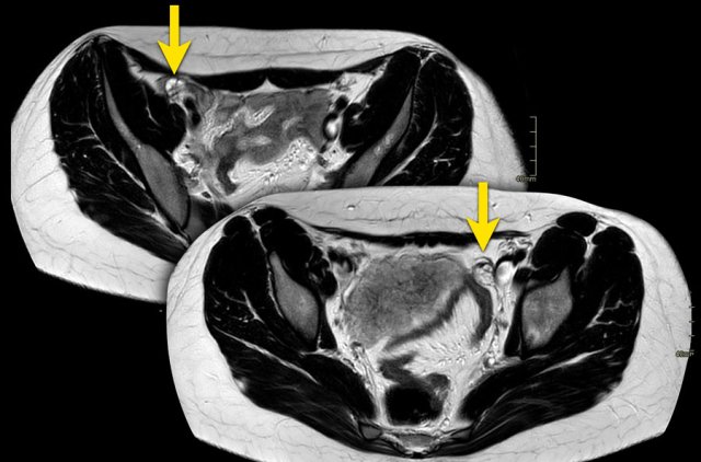
The subsequent MRI shows a small, curved and off-midline positioned uterus on the right.
No rudimentary horn is present on the left side.
The cervix is not necessary to mention in the final classification of this case, since a hemi-uterus it is usually accompanied by unilateral cervical aplasia.
The vagina does not show any abnormalities (V0).
Kidneys showed normal anatomy (not shown).
Classification: U4bV0.
MRI protocol
For patient preparation the use of an anti-peristaltic agent is recommended as well as an empty urinary bladder prior to imaging.
Vaginal opacification with ultrasound gel can be used when vaginal pathology is expected.
In menstruating patients imaging during secretory phase can be considered.
How to report Müllerian duct anomalies
Checklist
- Presence
of uterus
Is there a uterus or is there a hemi-uterus U4 or uterus aplasia U5. - Fundal
external contour
Is there an external indentation of more than 50% of the uterine wall thickness (UWT) as in bicorporeal uterus U3. - Internal
indentation in uterine cavity
Is there an internal indentation of more than 50% of the uterine wall thickness as in septate uterus U2. - Kidneys
Are there renal anomalies? - Cervix and vagina (co-existent classes)
Besides the main classes of the uterine anomalies a co-existent class is used for describing the cervix and vagina.
When unsure about the classification, a description of the findings is sufficient to avoid improper use of the classes.
Besides the female genital tract anomalies always report on the kidneys.
U0 normal uterus
- Uterus present: yes
- Fundal contour: no indentation or <50% UWT
- Internal indentation: no or <50% UWT
- Kidneys: not linked to renal anomalies
U0 was added to the classification to be able to describe abnormalities of the cervix or vagina in co-existent classes in combination with a normal uterus.
U1 dysmorphic uterus
- Uterus present: yes, however smaller than expected
- Fundal contour: normal
- Internal indentation: not > 50% UWT at the fundus, however there is an abnormal shape of the cavum.
- Kidneys: not linked to anomalies
Subclass U1a T-shaped
Narrow uterine cavity due to thickened lateral walls with a correlation 2/3 corpus and 1/3 cervix.
Subclass U1b Infantilis
Narrow uterine cavity without thickened lateral walls and inverse correlation of 1/3 corpus and 2/3 cervix lenght.
Subclass U1c all others
Group including all minor deformities of the uterine cavity. Usually, dysmorphic uteri are smaller in size.
U2 septate uterus
- Uterus present: yes
- Fundal contour: normal
- Internal indentation: yes > 50% UWT
- Kidneys: renal anomalies in 14%, mostly agenesis or a duplex collecting system
- Patients may have coexisting cervical and vaginal anomalies. In 25% of cases the septum continues on vaginal level.
Subclass U2a
Partial septate uterus with an internal indentation of more than 50% of the uterine wall thickness dividing the uterine cavity above the level of the internal cervical os.
Subclass U2b
Complete septate uterus. The septum divides the uterine cavity up to the level of the internal cervical os.
A hysteroscopic septum resection can be performed to improve reproductive outcomes.
Study the images and then continue reading.
The findings are:
- Uterus is present
- Normal external contour of the fundus
- Internal indentation is seen continuous to the level of the internal os of the cervix, and therefore it is considered a complete septate uterus.
- Kidneys showed normal anatomy (not shown).
- Cervix and vagina are normal.
Classification: U2bC0V0.
Study the images and the continue reading.
The findings are:
- No fundal indentation
- A complete septate uterus is seen
- A foetus in utero on the left side of the septum
- A septum in the cervix
Classification: U2bC1V0.
A septate uterus is the most frequent encountered anomaly, since it manifests in the final phase of uterine development, which is the resorption of the septum.
U3 bicorporeal uterus
- Uterus present: yes
- Fundal contour: indentation > 50% UWT.
- Internal indentation: present in U3c, inaddition to a contour indentation
- Kidneys: renal anomalies varying from 15 up to 45% in U3b.
Subclass U3a
Partial bicorporeal uterus. Indentation not reaching the cervix and no septum (<150% UWT)
Subclass U3b
Complete bicorporeal uterus. Indentation reaching up to the level of the cervix. Possibly including the cervix and vagina. In 75% a longitudinal vaginal septum is present.
Subclass U3c
Bicorporeal septate uterus. Indentation not reaching the cervix in combination with a septum (>150% UWT). In 25% a longitudinal vaginal septum is present. When the fusion of the Müllerian ducts fails, a bicorporeal uterus is encountered (also known as bicornuate uterus).
When there is no fusion at all, this leads to a
complete duplication of uterine horns, cervix and often also of the proximal
vagina (also known as uterus didelphys).
Subclass U3a and U3b usually do not need surgical intervention unless a vaginal septum is present.
When symptomatic, e.g. pain during intercourse, the septum can be resected.
Study this set of images.
Then continue reading.
The findings are:
- Uterus present: yes
- Fundal contour shows an external indentation > 50% UWT
- Internal indentation: yes, reaching up to the cervices. There is no septum of >150% UWT
- Kidneys: normal anatomy (not shown)
- Two normally formed cervices and a vagina without septum
Classification: U3bC2V0
Study the images and then continue reading.
The findings are:
- Uterus: present
- External fundal contour: indentation > 50% UWT, reaching up to the level of the cervix.
- Additional septum: no septum in the uterus > 150% UWT4.
- Kidneys: see below
- A double cervix is present as well as an obstructive vaginal septum. The septum causes a unilateral hematometrocolpos, as can be seen as high signal on T1WI.
Classification: U3bC2V2
Other possible imaging findings in these cases are hematosalphinx and possibly endometriosis.
Continue with the next image in this case...
On the same side as the septum there is an agenesis of the kidney.
This is seen consistent with the Herlyn-Werner-Wunderlich syndrome.
This is also known as OHVIRA - obstructed hemivagina and ipsilateral renal agenesia.
The contralateral kidney is hypertrophic (arrow).
U4 hemi-uterus
- Uterus present: yes, however with an abnormal configuration. Typically small, curved, and located off-midline, often referred to as ‘banana shaped’
- Fundal contour: not applicable
- Internal indentation: not applicable
- Kidneys: 40-70% of patients show renal anomalies. Mostly ipsilateral agenesis, but also multicystic dysplastic kidney disease (MCKD), ectopic position or renal fusion can occur.
Subclass U4a
Hemi-uterus with a rudimentary functional cavity,
communicating or non-communicating.
Subclass U4b
Hemi-uterus with no horn or a horn without rudimentary cavity.
In case of arrest in formation of one of the Müllerian ducts, a hemi-uterus develops (also
knows as unicornuate uterus).
As mentioned before, hemi-uterus is often accompanied
by cervical aplasia and therefore it is not necessary to mention this in the
final classification.
Special attention has to be paid to the presence of
endometrium in a rudimentary cavity.
In case of non-communication, hematometra and
endometriosis may be present.
Even a pregnancy can occur in a functional rudimentary
cavity with the chance of uterine rupture.
On T2WI the presence of endometrium can be evaluated and in particular post-contrast T1WI or DWI may be helpful.
A hemi-uterus does not need surgical intervention.
The presents of a rudimentary horn however is
essential to report for the aforementioned reason.
A description of the horn and location may aid in
surgical planning.
Study the images and then continue reading.
The findings are:
- A uterus is present, although small and off-midline curved to the left
- A few intra-mural leiomyomas are seen
- On the right a rudimentary horn with cavity can be depicted. In this cavity endometrium is present as well as a submucosal leiomyoma.
- Furthermore an endometrioma is seen on the right ovary with high signal on T1W image consistent with blood.
- Also signs of deep endometriosis are seen with fibrotic low T2 signal plaque with traction near to the endometrioma.
- Kidneys showed normal anatomy (not shown).
Classification: U4aV0.
The images show a small, curved and off-midline uterus with a normal zonal anatomy.
No rudimentary horn is seen.
There is a normal cervix and vagina.
Kidneys showed normal anatomy (not shown).
Classification: U4bV0.
U5 aplastic uterus
- Uterus present: no or aplastic
- Fundal contour: N/A
- Internal indentation: N/A
- Kidneys: ~19% show renal anomalies, mostly agenesis.
Subclass U5a
A rudimentary functional cavity is present, uni- or bilateral.
Subclass U5b
No functional rudimentary cavity present.

In class U5 the Müllerian ducts are not, or not fully developed during formation.
Usually there is a complete agenesis, also known as Mayer-Rokitansky-Küster-Hauser (MRKH) syndrome.
The typical form of MRKH syndrome (type I) is characterized by congenital absence of uterus, cervix and upper vagina.
The atypical form (type II) is characterized by the presence of both Müllerian duct anomalies and also non-gynaecological anomalies of urological, skeletal, vertebral or cardiac systems.
On MRI the non-developed rudimentary tissue may be present with low signal on T2WI.
These bilateral ‘uterine buds’ may be seen as fibrous linear structures, and a rudimentary uterus as triangular shaped tissue on the bladder dome. In these patients normal ovaries are present, but sometimes in an atypical position.
Images
The sagittal images show the abcense of a uterus, but on the bladder dome linear structures are seen, which is non-developed rudimentary tissue (arrowheads)
The kidneys showed normal anatomy (not shown). No cervix or upper vagina are seen.
Classification: U5bC4V4.
Continue with the axial images...
The ovaries are normal, but in an atypical position.
These findings correspond with the MRKH type I syndrome.
Classification: U5bC4V4.
Study the images and then continue reading.
- No uterus is present.
- Two rudimentary horns are seen bilaterally located near the pelvic wall with endometrium present in both.
- On the coronal view a low T2 ropy structure can be appreciated horizontally orientated on top of the bladder dome representing rudimentary tissue.
- No cervix or upper part of the vagina is present.
- Kidneys showed normal anatomy (not shown).
Classification: U5aC4V4.
U6 unclassified
This class is created to make sure that other classes are not incorrectly used when not fully applicable.
Only few cases of class U6 are described in literature.
Co-existent class cervix and vagina
V3 hymen imperforatus
During embryology the fused Müllerian ducts grow
downward until colliding with the primitive urogenital sinus.
There the
tuberculum of Muller is formed, following by the growth of two solid evaginations
i.e. the bulbi sinovaginalis.
The two bulbi fuse together and proliferate,
forming a massive cellular plate around the 3th month of gestation.
This plate
is called the vaginal plate.
Downward canalization follows, after which the
upper and lower vagina stay separated by the hymen. Normally the hymen
perforates around birth.
If the canalization of the vaginal plate is not completed or the perforation of the hymen doesn’t occur, mucus from the cervical glands, which are stimulated by the maternal estrogen, collects above the hymen.
This may lead to hydrometrocolpos and to
hematometrocolpos if it manifests after the menarche.
Images
- A uterus, cervix and vagina are present, however distended and filled with blood-bearing liquid with sedimentation.
- The findings are concordant with a hematometrocolpos.
- On the sagittal images bulging is seen at the level of the hymen, typical for hymen imperforatus.
- A normal right ovary is seen and a hematosalpinx on the left side.
- Kidneys showed normal anatomy (not shown).