Chest X-Ray - Basic Interpretation
Robin Smithuis and Otto van Delden
Radiology Department of the Alrijne Hospital, Leiderdorp and the Academical Medical Centre, Amsterdam, the Netherlands
Publicationdate
The chest x-ray is the most frequently requested radiologic examination.
In fact every radiologst should be an expert in chest film reading.
The interpretation of a chest film requires the understanding of basic principles.
In this article we will focus on:
- Normal anatomy and variants.
- Systematic approach to the chest film using an inside-out approach.
- Pathology of the heart, mediastinum, lungs and pleura, chest wall and abdomen.
Normal and Variants
PA view
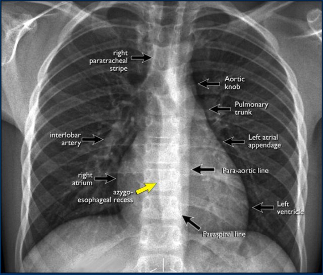
On the PA chest-film it is important to examine all the areas where the lung borders the diaphragm, the heart and other mediastinal structures.
At these borders lung-soft tissue interfaces are seen resulting in a:
- Line or stripe - for instance the right para tracheal stripe.
- Silhouette - for instance the normal silhouette of the aortic knob or left ventricle
These lines and silhouettes are useful localizers of disease, because they can be displaced or obscured with loss of the normal silhouette. This is called the silhouette sign, which we will discuss later.
The paraspinal line may be displaced by a paravertebral abscess, hemorrhage due to a fracture or extravertebral extension of a neoplasm.
Widening of the paratracheal line (> 2-3mm) may be due to lymphadenopathy, pleural thickening, hemorrhage or fluid overload and heart failure.
Displacement of the para-aortic line can be due to elongation of the aorta, aneurysm, dissection and rupture.
The anterior and posterior junction lines are formed where the upper lobes join anteriorly and posteriorly. These are usely not well seen and we will not discuss them.
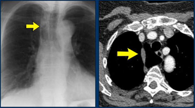
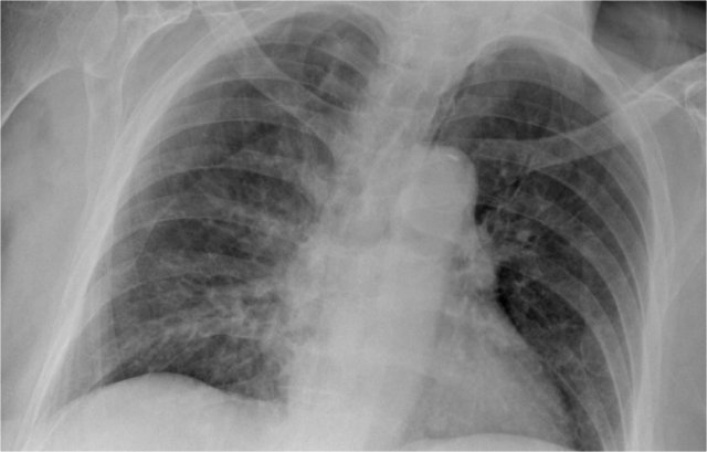
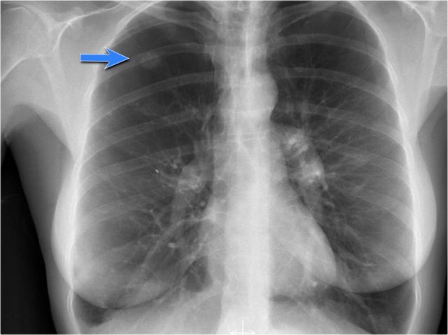
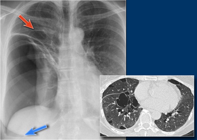
An important mediastinal-lung interface to look for is the azygoesophageal line or recess (arrow).
Azygo-esophageal recess
The azygo-esophageal recess is the region inferior to the level of the azygos vein arch in which the right lung forms an interface with the mediastinum between the heart anteriorly and vertebral column posteriorly.
It is bordered on the left side by the esophagus.
Deviation of the azygoesophageal line is caused by:
- Hiatal hernia
- Esophageal disease
- Left atrial enlargement
- Subcarinal lymphadenopathy
- Bronchogenic cyst
Notice the deviation of the azygoesophageal line on the PA-film.
It is caused by a hiatal hernia.
The arrow point to the barium contrast within the hiatal hernia.
Vena azygos lobe
A common normal variant is the azygos lobe.
The azygos lobe is created when a laterally displaced azygos vein makes a deep fissure in the upper part of the lung.
On a chest film it is seen as a fine line that crosses the apex of the right lung.
Here another patient with an azygos lobe.
The azygos vein is seen as a thick structure within the azygos fissure.
In some patients an extra joint is seen in the anterior part of the first rib at the point where the bone meets the calcified cartilageneous part (arrow).
This may simulate a lung mass.
Pectus excavatum
In patients with a pectus excavatum the right heart border can be ill-defined, but this is normal.
It produces a silhouette sign and thus simulating a consolidation or atelectasis of the right middle lobe.
The lateral view is helpful in such cases.
Pectus excavatum is a congenital deformity of the ribs and the sternum producing a concave appearance of the anterior chest wall.
Lateral view
On a normal lateral view the contours of the heart are visible and the IVC is seen entering the right atrium.
The retrosternal space contains air and should be radiolucent down to the level where the right ventricle borders the sternum (small black arrow).
Any radiopacity in this upper retrosternal area is suspective of a process in the anterior mediastinum or upper lobes of the lungs.
As you go from superior to inferior over the vertebral bodies they should get darker, because usually there will be less soft tissue and more radiolucent lung tissue (white arrow).
If this area becomes more dense, look carefully for pathology in the lower lobes.
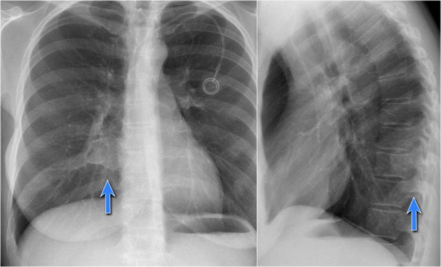
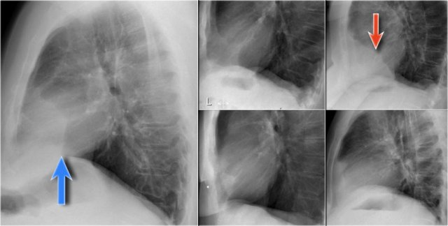
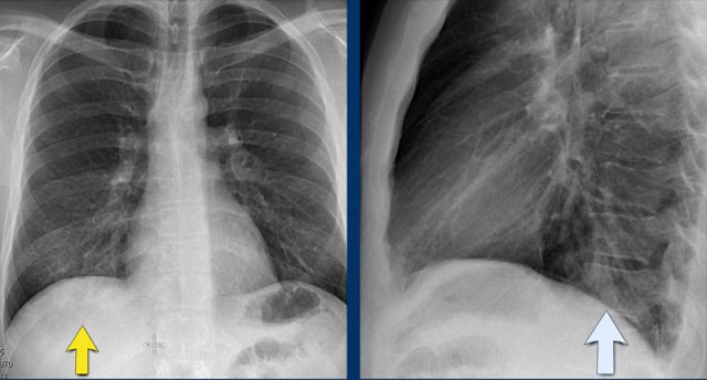
Diaphragm
The contours of the left and right diaphragm should be visible.
The right diaphragm should be visible all the way to the anterior chest wall (red arrow).
Actually we see the interface between the air in the lungs and the soft tissue structures in the abdomen.
The left diaphragm can only be seen to a point where it borders the heart (blue arrow).
At that point the interface is lost, since the heart has the same density as the structures below the diaphragm.
Pulmonary vessels
The left main pulmonary artery (in purple) passes over the left main bronchus and is higher than the right pulmonary artery (in blue) which passes in front of the right main bronchus.
Once you know how the normal hilar structures look like on a lateral view, it is easier to detect abnormalities.
In this case on the PA-view there is hilar enlargement.
On the PA-view it is not clear whether this is due to dilated vessels or enlarged lymph nodes.
On the lateral view there are round structures in areas where you don't expect any vessels. So we can conclude that we are dealing with enlarged lymph nodes.
This patient has sarcoidosis.
Notice also the widening of the paratracheal line (or stripe) as a result of enlarged lymph nodes.
On the lateral view spondylosis may mimick a lung mass.
Any density in the area of the vertebral bodies should lead you to the PA-film to look for spondylosis, which is usually located on the right side (arrows).
On the left side the formation of osteophytes is hampered by the pulsations of the aorta.
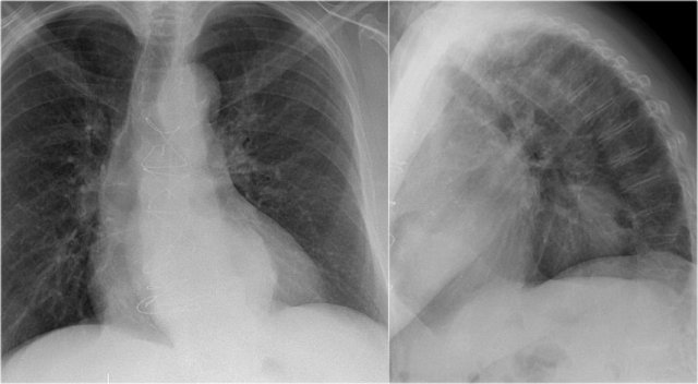
On the PA-view the superior mediastinum is widened.
The lateral view is helpful in this case because it demonstrates a density in the upper retrosternal space.
Now the differential diagnosis is limited to a mass in the anterior mediastinum (4 T's).
This was a Hodgkins lymphoma.
A common incidental finding in adults is a Bochdalek hernia, which is due to a congenital defect in the posterior diaphragm (arrows).
In most cases it only contains retroperitoneal fat and is asymptomatic, but occasionally it may contain abdominal organs.
Large hernias are sometimes seen in neonates and can be complicated by pulmonary hypoplasia.
A hernia of Morgagni is also a congenital diaphragmatic hernia, but is less common.
It is located anteriorly.
Systematic Approach
Whenever you review a chest x-ray, always use a systematic approach.
We use an inside-out approach from central to peripheral.
First the heart figure is evaluated, followed by mediastinum and hili.
Subsequently the lungs, lungborders and finally the chest wall and abdomen are examined.
You have to know the normal anatomy and variants.
Find subtle abnormalities by using the sihouette sign and mediastinal lines.
Once you see an abnormality use a pattern approach to come up with the most likely diagnosis and differential diagnosis.
Old films
It is extremely important to always compare with old films, as we will demonstrate in this case.
Actually someone said that the most important radiograph is the old film, since it gives you so much information.
For instance a lung mass, which hasn't changed in many years is not a lung cancer.
First study the chest films.
Based on these films, you could make the diagnosis of congestive heart failure, but the findings are subtle.
Continue with the old film...
Scroll back and forth to the old film.
Once you compare the chest film to the old one, things become more obvious and you will be much more confident in your diagnosis of congestive heart failure:
- The size of the heart is slightly increased compared to the old film, but was already large on the old film.
- The pulmonary vessels are slightly increased in diameter indicating increased pulmonary pressure.
- There are maybe some subtle interstitial markings as a result of interstitial edema.
- There is pleural fluid bilaterally. Notice that the infero-posterior border of the lower lobes has changed in position.

Silhouette sign
The loss of the normal silhouette of a structure is called the silhouette sign.
This is an important sign, because it enables us to find subtle pathology and to locate it within the chest.
Here an illustration to explain the silhouette sign:
- No silhouette sign
The heart is located anteriorly in the chest and it is bordered by the lingula of the left lung.
The difference in density between the heart and the air in the lingula enables us to see the silhouette of the left ventricle.
When there is a pneumonia in the left lower lobe, which is located more posteriorly in the chest compared to the heart, the left ventricle will still be bordered by air in the lingula and we will still see the silhouette of the heart (blue arrow). - Silhouette sign
When there is a consolidation in the lingula with the same 'water density' as the heart, the normal silhouette of the left ventreicle will be lost (yellow arrow).
This silhouette sign tells us that the pathology is located anteriorly in the chest.
Silhouette sign (2)
The PA-film shows a silhouette sign of the left heart border.
Even without looking at the lateral film, we know, that the pathology must be located anteriorly in the left lung.
This was a consolidation due to a pneumonia caused by Streptococcus pneumoniae.
Silhouette sign (3)
Here a consolidation which is located in the left lower lobe (yellow arrow).
Notice that there is a normal silhouette of the left heart border (blue arrow).
The absence of a silhouette sign tells us that the pathology is located in the left lower lobe and not in the lingula.
Silhouette sign (4)
On this lateral film there is too much density over the lower part of the spine.
First study the lateral film and decide on which side the pathology is located.
Then click on the image to enlarge and scroll through the images.
By only looking at the interfaces of the left and right diaphragm on the lateral film, it is possible to tell on which side the pathology is located.
In this case we cannot follow the contour of the right diaphragm all the way to posterior, which indicates that there is something of water-density in the right lower lobe.
Continue with the PA-film of the same patient...
On the PA-film there is a normal silhouette of the right heart border, so the pathology is not in the anterior part of the chest, which we already had decided by studying the lateral view.
Question:
Why do we still see the silhouette of the right diaphragm on the PA-film?
Answer:
What we see is actually the highest point of the right diaphragm, which is anterior to the pneumonia in the right lower lobe.
The pneumonia does not border the highest point of the right diaphragm and there will be no silhouette sign.
Hidden areas
There are some areas that need special attention, because pathology in these areas can easily be overlooked.
These areas are also known as the hidden areas:
- Apical zones
- Hilar zones
- Retrocardial zone
- Zone below the dome of diaphragm
Notice that there is quite some lung volume below the dome of the diaphragm, which will need your attention (blue area).
Hidden areas (2)
Here an example of a large lesion in the right lower lobe, which is difficult to detect on the PA-film, unless when you give special attention to the hidden areas.
Click on the image for an enlarged view.
Hidden areas (3)
Here a pneumonia which was hidden in the right lower lobe mainly below the level of the dome of the diaphragm (yellow arrow).
Notice the increase in density on the lateral film in the lower vertebral region.
You may have to enlarge the image to get a better view.
Hidden areas (4)
First study the CXR.
Then scroll through the images.
Notice the subtle increased density in the area behind the heart that needs special attention (blue area).
This was a left lower lobe pneumonia.
First study the CXR.
We know that in some cases there is an extra joint in the anterior part of the first rib which may simulate a mass.
However this is also a hidden area where it can be difficult to detect a mass.
In this case a small lung cancer is seen behind the left first rib.
Notice that is is also seen on the lateral view in the retrosternal area.
Continue with the PET-CT.
The PET-CT demonstrates the tumor (arrow) which has already spread to the bone and liver.
The diagnosis was made by a biopsy of an osteeolytic metastasis in the iliac bone.
First study the CXRs.
There is a subtle consolidation in the left lower lobe in the hidden area behind the heart.
Again there is increased density over the lower vertrebral region.
Heart and Pericardium
On a chest film only the outer contours of the heart are seen.
In many cases we can only tell whether the heart figure is normal or enlarged and it will be difficult to say anything about the different heart compartments.
However it can be helpful to know where the different compartments are situated.
Left Atrium
- Most posterior structure.
- Receives blood from the pulmonary veins that run almost horizontally towards the left atrium.
- Left atrial appendage (in purple) can sometimes be seen as a small outpouching just below the pulmonary trunk.
- Enlargement of the left atrium results on the PA-view in outpouching of the upper heart contour on the right and an obtuse angle between the right and left main bronchus. On the lateral view bulging of the upper posterior contour will be seen.
Right Atrium
- Receives blood from the inferior and superior vena cava.
- Enlargement will cause an outpouching of the right heart contour.
Left Ventricle
- Situated to the left and posteriorly to the right ventricle.
- Enlargement will result on the PA-view in an increase of the heart size to the left and on the lateral view in bulging of the lower posterior contour.
Right Ventricle
- Most anterior structure and is situated behind the sternum.
- Enlargement will result on the PA-view in an increase of the heart size to the left and can finally result in the left heart border being formed by the right ventricle.
Left Atrium
- The upper posterior border of the heart is formed by the left atrium.
- Enlargement will result in bulging of the upper posterior contour
Left Ventricle
- Forms the lower posterior border.
- Enlargement will displace the contour more posteriorly.
Right Ventricle
- The lower retrosternal space is filled by the right ventricle.
- Enlargement of the right ventricle will result in more superior filling of this retrosternal space.
Left Atrium enlargement
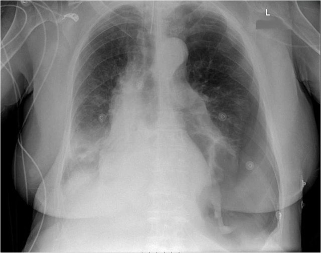
This is a patient with longstanding mitral valve disease and mitral valve replacement.
Extreme dilatation of the left atrium has resulted in bulging of the contours (blue and black arrows).
Right ventricle enlargement
First study the PA and lateral chest film and then continue reading.
On these chest films the heart is extremely dilated.
Notice that it is especially the right ventricle that is dilated. This is well seen on the lateral film (yellow arrow).
There is a small aortic knob (blue arrow), while the pulmonary trunk and the right lower pulmonary artery are dilated.
All these findings are probably the result of a left-to-right shunt with subsequent development of pulmonary hypertension.
The location of the cardiac valves is best determined on the lateral radiograph.
A line is drawn on the lateral radiograph from the carina to the cardiac apex.
The pulmonic and aortic valves generally sit above this line and the tricuspid and mitral valves sit below this line (4).
On this lateral view you can get a good impression of the enlargement of the left atrium.
Cardiac incisura
Click image to enlarge.
On the right side of the chest the lung will lie against the anterior chest wall.
On the left however the inferior part of the lung may not reach the anterior chest wall, since the heart or pericardial fat or effusion is situated there.
This causes a density on the anteroinferior side on the lateral view which can have many forms.
It is a normal finding, which can be seen on many chest x-rays and should not be mistaken for pathology in the lingula or middle lobe.
The explanation for the cardiac incisura is seen on this CT-image.
At the level of the inferior part of the heart we can appreciate that the lower lobe of the right lung is seen more anteriorly compared to the left lower lobe.
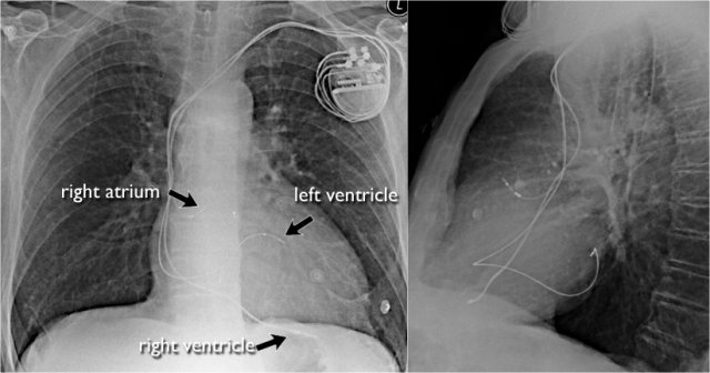
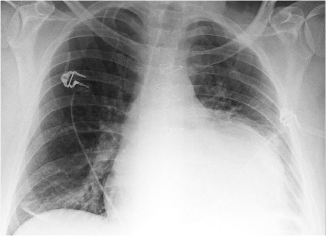
Pacemaker
There are different types of cardiac pacemakers.
Here we see a pacemaker with one lead in the right atrium and another in the right ventricle.
A third lead is seen, which is guided through the coronary sinus towards the left ventricle.
This is done in patients with asynchrone ventricular contractions.
Pacing both ventricles at the same time will lead to synchrone contractions and a better cardiac output.
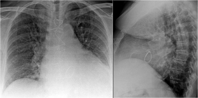
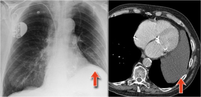
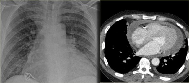
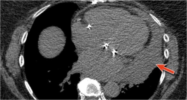
Pericardial effusion
Whenever we encounter a large heart figure, we should always be aware of the possibility of pericardial effusion simulating a large heart.
On the chest x-ray it looks as if this patient has a dilated heart while on the CT it is clear, that it is the pericardial effusion that is responsible for the enlarged heart figure.
Especially in patients who had recent cardiac surgery an enlargement of the heart figure can indicate pericardial bleeding.
This patient had a change in the heart configuration and pericardial bleeding was suspected.
Ultrasound demonstrated only a minimal pericardial effusion.
Continue with the CT.
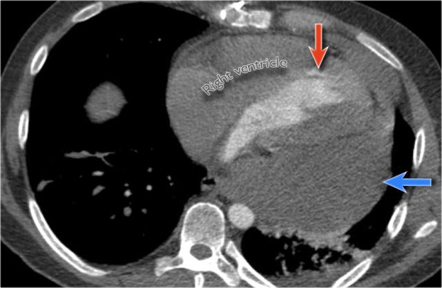
There is a large pericardial effusion, which is located posteriorly to the left ventricle (blue arrow).
The left ventricle id filled with contrast and is compressed (red arrow).
At surgery a large hematoma in the posterior part of the pericardium was found.
Notice that on the anterior side there is only a minimal collection of pericardial fluid, which explains why the ultrasound examination underestimated the amount of pericardial fluid.
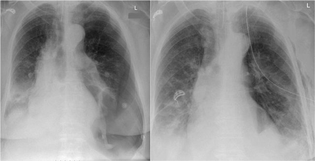
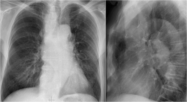
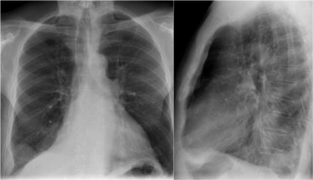
Here another patient who had valve-replacement.
Notice the large heart size.
There is redistribution of the pulmonary vessels which indicates heart failure.
Continue with the CT.
The CT-image shows a large pericardial effusion.
Always compare these post-operative chest films with the pre-operative ones.
Calcifications
Detection of calcifications within the heart is quite common.
The most common are coronary artery calcifications and valve calcifications.
Here we see pericardial calcifications which can be associated with constrictive pericarditis.
In this case there are calcifications that look like pericardial calcifications, but these are myocardial calcifications in an infarcted area of the left ventricle.
Notice that they follow the contour of the left ventricle.
Pericardial fatpad
Pericardial fat depositions are common.
Sometimes a large fat pad can be seen (figure).
Necrosis of the fat pad has pathologic features similar to fat necrosis in epiploic appendagitis.
It is an uncommon benign condition, that manifests as acute pleuritic chest pain in previously healthy persons (10).
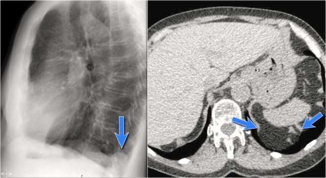
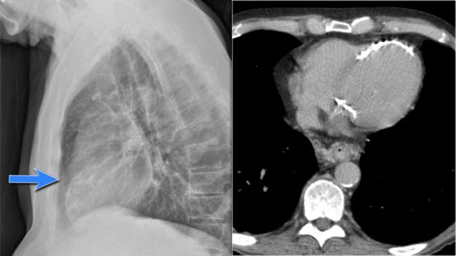
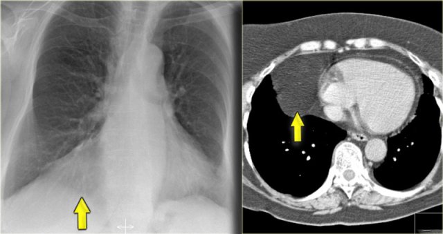
Pericardial cyst
Pericardial cysts are connected to the pericardium and usually contain clear fluid.
The majority of pericardial cysts arise in the anterior cardiophrenic angle, more frequently on the rightside, but they can be seen as high as the pericardial recesses at the level of the proximal aorta and pulmonary arteries (11).
Most patients are asymptomatic.
On the chest x-ray it seems as if there is a elevated left hemidiaphragm.
On CT however there is a cyst connected to the pericardium.
Hili
The normal hilar shadow is for 99% composed of vessels - pulmonary arteries and to a lesser extent veins (1).
The vessel margins are smooth and the vessels have branches.
The left pulmonary artery runs over the left main bronchus, while the right pulmonary artery runs in front of the right main bronchus, which is usually lower in position than the left main bronchus.
Hence the left hilum is higher than the right.
Only in a minority of cases the right hilus is at the same level as the left, but never higher.
In this illustration the lower lobe arteries are coloured blue because they contain oxygen-poor blood.
They have a more vertical orientation, while the pulmonary veins run more horizontally towards the left atrium, which is located below the level of the main pulmonary arteries.
Both pulmonary arteries and veins can be identified on a lateral view and should not be mistaken for lymphadenopathy.
Sometimes the pulmonary veins can be very prominent.
The left main pulmonary artery passes over the left main bronchus and is higher than the right pulmonary artery which passes in front of the right main bronchus.
These images are thick slab sagittal reconstructions of a chest-ct to get a better view of the hilar structures.
The lower lobe pulmonary arteries extend inferiorly from the hilum.
They are described as little fingers, because each has the size of a little finger (1).
On the right side the little finger will be visible in 94% of normal CXRs and on the left side in 62% of normals (1).
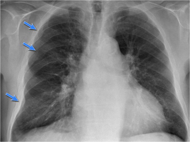
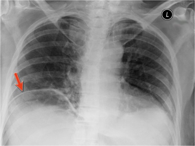
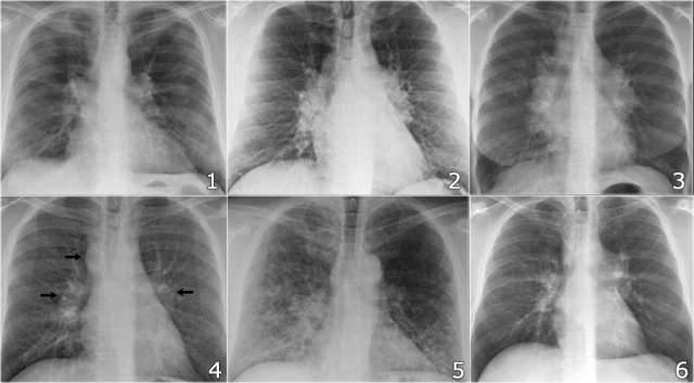
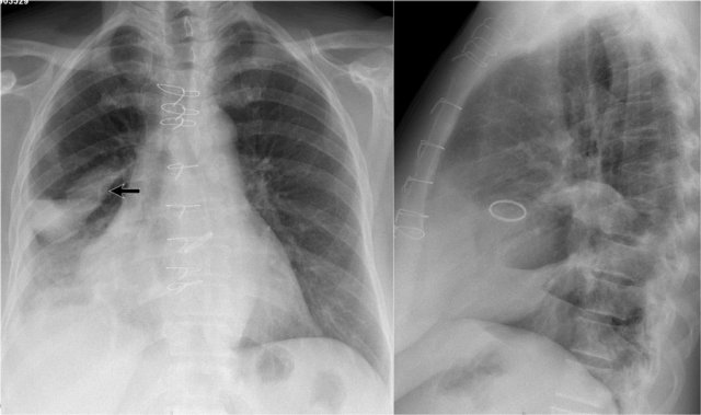
Study the CXR of a 70-year old male who fell from the stairs and has severe pain on the right flank..
Notice on the PA-film the absence of the little finger on the right and on the lateral view the increased density over the lower vertebral column.
What is your diagnosis?
There is a right lower lobe atelectasis.
Notice the abnormal right border of the heart.
The right interlobar artery is not visible, because it is not surrounded by aerated lung but by the collapsed lower lobe, which is adjacent to the right atrium.
On a follow-up chest film the atelectasis has resolved.
We assume that the atelectasis was a result of post-traumatic poor ventilation with mucus plugging.
Notice the reappearance of the right little finger (red arrow) and the normal right heart border (blue arrow).
Hilar enlargement
The table summarizes the causes of hilar enlargement.
Normal hili are:
- Normal in position - left higher than right
- Equal density
- Normal branching vessels
Enlargement of the hili is usually due to lymphadenopathy or enlarged vessels.
In this case there is an enlarged hilar shadow on both sides.
This could be the result of enlarged vessels or enlarged lymph nodes.
A very helpful finding in this case is the mass on the right of the trachea.
This is known as the 1-2-3 sign in sarcoidosis, i.e. enlargement of left hilum, right hilum and paratracheal.
Here some more examples of sarcoidosis.
Click to enlarge.
- Lymphadenopathy and groundglass appearance of the lungs
- Lymphadenopathy, 1-2-3 sign
- Bulky lymphadenopathy
- 1-2-3 sign
- Nodular lung pattern, no lymphadenopathy
- Hilar and paratracheal lymphadenopathy
Mediastinum
Mediastinal masses are discussed in more detail in Mediastinal masses.
Here is just a brief overview.
The mediastinum can be divided into an anterior, middle and posterior compartment, each with it's own pathology.
Mediastinal lines
Mediastinal lines or stripes are interfaces between the soft tissue of mediastinal structures and the lung.
Displacement of these lines is helpful in finding mediastinal pathology, as we have discussed above.
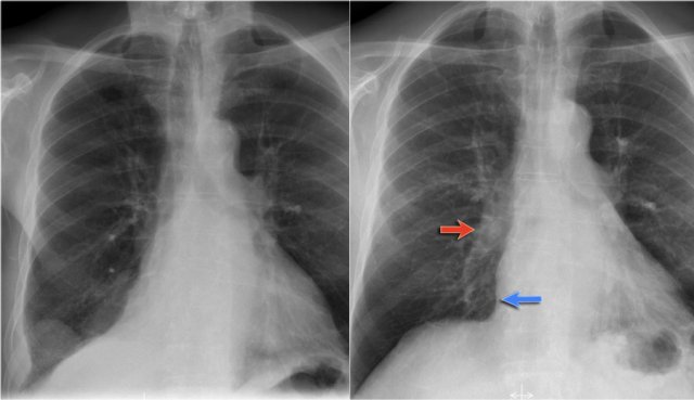
Azygoesophageal recess
The most important mediastinal line to look for is the azygoesophageal line, which borders the azygoesophageal recess.
This line is visible on most frontal CXRs.
The causes of displacement of this line are summarized in the table.
A hiatal hernia is the most common cause of displacement of the azygoesophageal line.
Notice the air within the hernia on the lateral view.
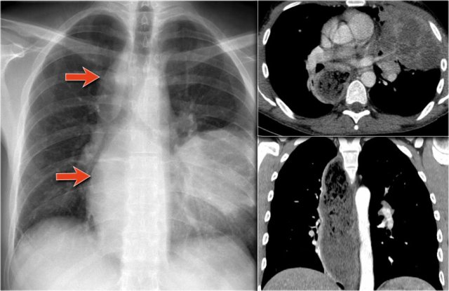
Another common cause of displacement of the azygoesophageal line is subcarinal lymphadenopathy.
Notice the displacement of the upper part of the azygoesophageal line on the chest x-ray in the area below the carina.
This is the result of massive lymphadenopathy in the subcarinal region (station 7).
There are also nodes on the right of the trachea displacing the right paratracheal line.
On the PET we can appreciate the massive lymphadenopathy far better than on the CXR.
There are also lymphomas in the neck.
this is an important finding, since these nodes are accessible for biopsy.
Continue with images of CT and ultrasound.
Here we see a CT-image.
The azygoesophageal recess is displaced by lymph nodes that compress the left atrium.
The final diagnosis of small cel lungcancer was made through a biopsy of a lymphnode in the neck.
First study the chest x-ray.
Then continue reading.
Notice the following:
- There is displacement of the azygoesophageal line both superiorly an inferiorly.
- There is an air-fluid level (arrow).
Combined with the above this must be a dilated esophagus with residual fluid. The final diagnosis was achalasia. - The density on the left in the region of the lingula is the result from prior aspiration pneumonia.
Here we have a prior CXR of this patient.
The AP-film shows a right paratracheal mass.
The azygoesophageal recess is not identified, because it is displaced and parallels the border of the right atrium.
The large round density in the left lung is the result of aspiration.
Notice the massive dilatation of the esophagus on the CT.
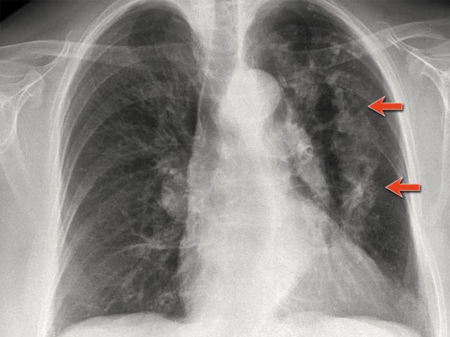
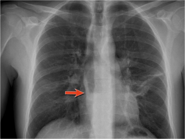
Aortopulmonary window
The aortopulmonary window is the interface below the aorta and above the pulmonary trunk and is concave or straight laterally.
Here the AP-window is convex laterally due to a mass that fills the retrosternal space on the lateral view.
On the CT-images a mass in the anterior mediastinum is seen.
Final diagnosis: Hodgkins lymphoma.
Here another case.
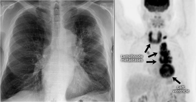
On the PA-film a mass is seen that fills the aortopulmonary window.
The PET better demonstrates the extent of the lymphnode metastases in this patient.
Final diagnosis: small cell lungcarcinoma.
Lungs
Lung abnormalities mostly present as areas of increased density, which can be divided into the following patterns:
- Consolidation
- Atelectasis
- Nodule or mass - solitary or multiple
- Interstitial
Less frequently areas of decreased density are seen as in emphysema or lungcysts.
These lungpatterns will discussed in more detail in an article that will be published soon: Chest X-Ray - Lung disease.
Consolidation
Tap on image to enlarge
Atelectasis
Pleura
Pleural fluid
It takes about 200-300 ml of fluid before it comes visible on an CXR (figure).
About 5 liters of pleural fluid are present when there is total opacification of the hemithorax.
Total opacification of the right hemithorax in a patient with pleuritis carcinomatosa on both sides.
On the right there is only some air visible in the major bronchi creating an air bronchogram within the compressed lung.
Pleural fluid may become encysted.
Here we see fluid entrapped within the fissure.
This can sometimes give the impression of a mass and is called 'vanishing tumor'.
Pneumothorax
The table lists the most common causes of a pneumothorax.
The other cystic lungdisease which causes pneumothorax is Langerhans cell histiocytosis (LCH) which is seen in smokers.
Study the CXR.
There are two important findings.
The retracted visceral pleura is seen (blue arrow) which indicates that there is a pneumothorax.
There is a horizontal line visible (yellow arrow).
Normally there are no straight lines in the human body unless when there is an air-fluid level.
This means that there is a hydro-pneumothorax.
When a pneumothorax is small, this air-fluid level can be the only key to the diagnosis of a pneumothorax.
Study the CXR.
There are 3 important findings.
Notice that the mediastinum is slightly displaced to the left.
Does this mean that there is a tension pneumothorax?
Do you have an idea about the cause of the pneumothorax?
There is a hydropneumothorax.
Notice the air-fluid level (blue arrow).
The upper lobe is still attached to the chest wall by adhesions.
Maybe this patient was treated for a prior pneumothorax.
There is a lung cyst in the upper lobe (red arrow).
So we can assume that the pneumothorax has something to do with a cystic lung disease.
Since this patient is a woman, lymphangioleiomyomatosis (LAM) is a possible diagnosis.
LAM is a rare lung disease that results in a proliferation of smooth muscle throughout the lungs resulting in the obstruction of small airways leading to pulmonary cyst formation and pneumothorax.
LAM also occurs in patients who have tuberous sclerosis.
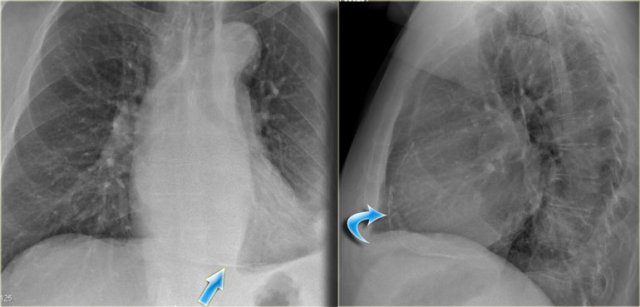
Study the CXR.
What is your diagnosis?
This is not a pneumothorax but a skin fold.
The radiography was performed supine with a CR cassette inserted underneath the patient, which resulted in a skinfold.
Notice that there are lung markings beyond the apparent pneumothorax.
Here two CXRs of another patient with obvious skinfolds.
Recognition of a pneumothorax depends on the volume of air in the pleural space and the position of the body.
On a supine radiograph a pneumothorax can be subtle and approximately 30% of pneumothoraces are undetected.
A sign to look for is the 'deep sulcus sign'.
It represents lucency of the lateral costophrenic angle extending toward the hypochondrium (Figure).
The image is of a patient in the ICU who is on mechanical ventilation. There was an acute exacerbation of the dyspnoe.
There is a deep sulcus sign on the left.
Notice that the left hemidiaphragm is depressed.
This is an important finding since it indicates a tension pneumothorax.
The image on the right is after insertion of an intercostal drain.
Notice that the diaphragm has regained its normal appearance.
Pleural opacities
The table lists the most common causes of pleural opacities.
Pleural plaques
The CXR shows multiple opacities.
They have irregular shapes and do not look like a lung masses or consolidations.
Some of these opacities are clearly bordering the chest wall (red arrows).
All these findings indicate that we are dealing asbestos related pleural plaques.
Asbestos related pleural plaques are usually:
- bilateral and extensive.
- covering the dome of the diaphragm.
Unilateral pleural calcifications are usually due to:
- infection (TB)
- empyema
- hemorrhagic
Pleural hematoma
These images are of a patient, who had a pleural opacity after a chest trauma.
It was believed to be a hematoma and resolved spontaneously.
Chest wall
Ribfractures
The most common identified chest wall abnormalities are old ribfractures.
The CXR shows many rib deformities due to old fracturees.
When a rib fracture heals, the callus formation may create a mass-like appearance (blue arrow).
Sometimes a CT is necessary to differentiate a healing fracture from a lung mass.
Notice the large lung volume and the enlarged pulmonary vessels.
Probably we are dealing with pulmonary arterial hypertension in a patient with COPD.
The second most common chest wall abnormalities that we see on a CXR are metastases in vertebral bodies and ribs.
Notice the expansile mass in the posterior rib on the right.
Abdomen
The most obvious finding on this CXR is free air under the diaphragm.
This finding indicates a bowel perforation, unless when the patient had recent abdominal surgery and there is still some air left in the abdomen, which can stay there for several days.
There is another subtle finding in the left upper lobe.
A subtle density projecting over the first rib - hidden area - proved to be a lungcarcinoma.
Here another patient with free abdominal air.
Notice the very thin regular line which is the diaphragm (arrow).
At first impression one might think that this is just some plate-like atelectasis due to poor inspiration.