COVID-19 CO-RADS classification

COVID working group of the Dutch Radiological Society

Publicationdate

The CO-RADS classification is a standardized reporting system for patients with suspected COVID-19 infection developed for a moderate to high prevalence setting.

This is a proposed classification system for radiologists in the Netherlands and still work in progress.

Press ctrl+ for larger images and text on a PC or ⌘+ on a Mac.
This can be helpful for scroll-images. 
Single images can be enlarged by clicking on them.

CORADS classification

Based on the CT findings, the level of suspicion of COVID-19 infection is graded from very low or CO-RADS 1 up to very high or CO-RADS 5 and the severity and stage of the disease is determined with remarks on comorbidity and a differential diagnosis.

Regular updates will be provided.CORADS-1 has a high negative predictive value in patients with complaints for four or more days.

CORADS 5 has a very high positive predictive value given the high a priori-chance in this epidemic.
The interobserver variation of CORADS 2-4 is still high and has a poor negative and predictive value.

The interpretation of the CT findings has to be  combined with the clinical symptoms and the duration of the symptoms as a CT can be negative in the first few days of a mild infection.


Dutch version of CO-RADS:
https://www.radiologen.nl/system/files/bestanden/documenten/2020-03-29a_standaardverslag_covid-19_co-rads_ppt_pdf.pdf

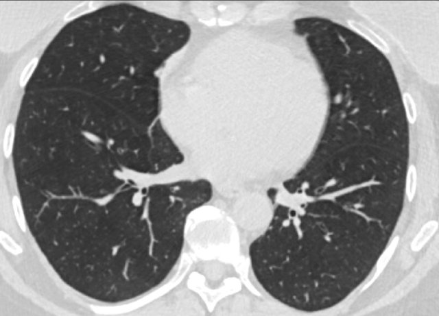
CO-RADS 1. Normal chest CT. CO-RADS 1. Normal chest CT.

CORADS 1

COVID-19 is highly unlikely.
The CT is normal or there are findings that indicate a non-infectious disease like congestive heart failure, sarcoid, histoplasmosis, malignancy, UIP or fibrotic NSIP (if unchanged to prior examination).

An exeption has to be made for the first few days of a mild infection when the CT can be normal. 

The CT-image is of a patient with complaints for five days.
There are no abnormalities and the PCR was negative.

CO-RADS 2. Non COVID-19 infection CO-RADS 2. Non COVID-19 infection

CORADS 2

Level of suspicion of COVID-19 infection is low.
Findings consistent with other infections like typical bronchiolitis with tree-in-bud and thickened bronchus walls, tbc.
No typical signs of COVID-19.

The CT-image shows bronchiectasis, bronchial wall thickening and tree-in-bud (arrows).
There are no ground glass opacities.

CO-RADS 2. CO-RADS 2.

The images show bronchial wall thickening, tree-in-bud (arrow) and consolidation.
There are no ground glass opacities.

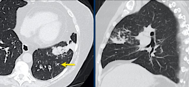
CO-RADS 2. Bacterial pneumonia with endobronchial spread (tree-in-bud) CO-RADS 2. Bacterial pneumonia with endobronchial spread (tree-in-bud)

40 year old woman with fever and coughing.

CT findings: lobar consolidation and tree-in-bud (arrows) consistant with a bacterial infection, i.e. CORADS 2.

COVID-19 unlikely.

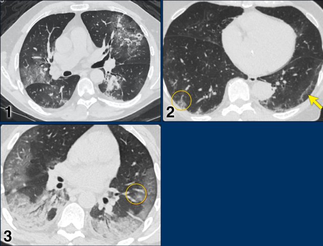
Examples of CO-RADS 3. Click to enlarge. Examples of CO-RADS 3. Click to enlarge.

CORADS 3

COVID-19 unsure or indeterminate. 

CT abnormalities indicating infection, but unsure whether COVID-19 is involved, like widespread bronchopneumonia, lobar pneumonia, septic emboli with ground glass opacities.

Case 1.
One day complaints. CT: Unifocal GGO. PCR negative.

Case 2.
CT: Unifocal GGO (circle).

Case 3.
CT: Unifocal GGO (arrow).

Case 4.
CT: Unifocal GGO (circle).

Examples of CO-RADS 3. Click to enlarge. Examples of CO-RADS 3. Click to enlarge.

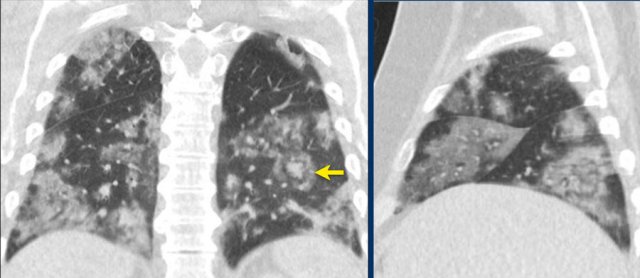
Case 5
7 day of complaints. 

CT: multifocal consolidations with surrounding GGO.
PCR negative.


Case 6
Recent Influenza A . History of pulmonary hypertension.
Started coughing again. 

CT: bilateral central consolidations with diffuse GGO.
Re-test: COVID-19 PCR: negative and Influenza A: positive.


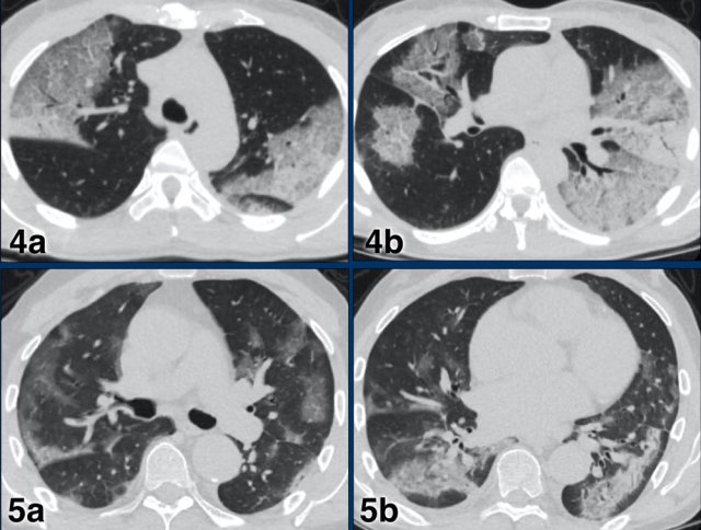
CORADS 4

In CO-RADS 4 the level of suspicion is high.

Mostly these are suspicious CT findings but not extremely typical:

  • Unilateral ground glass
  • Multifocal consolidations without any other typical finding
  • Findings suspicious of COVID-19 in underlying pulmonary disease.


Case 1
7 days of compaints
CT: unilateral areas of GGO in left upper lobe.
PCR: positive.

Case 2
CT: bilateral GGO in a patient with emphysema.

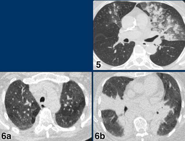
CO-RADS 5 CO-RADS 5

CORADS 5

Case 1
Multifocal GGO and consolidation

Case 2
10 days of complaints.
CT: bilateral multifocal GGO, vascular thickening (circle), subpleural bands (arrow).
PCR: positive

Case 3
Eleven days of complaints
CT findings: Bilateral GGO and consilidation, basal preference, vascular thickening (circle).
PCR: positive

CO-RADS 5 CO-RADS 5

Case 4
CT findings: multifocal areas of groundglass and consolidation

Case 5
CT findings: multifocal areas of groundglass and consolidation

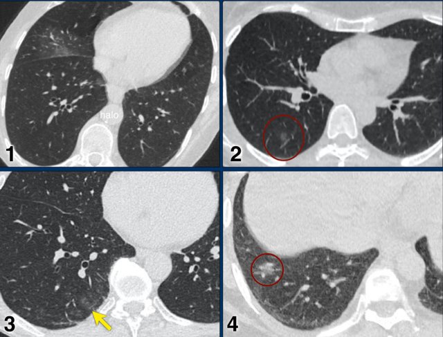
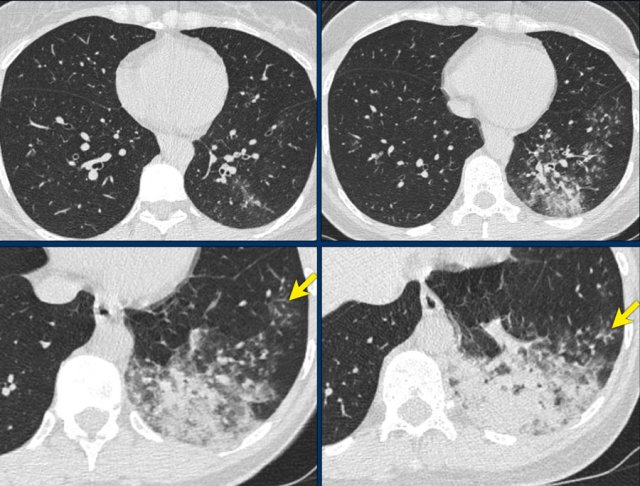
CORADS 6

Patient with positive PCR and bilateral GGO.

Notice halo sign (arrow).

Typical findings

In the table the typical findings of COVID-19.

Mention findings that are very atypical, that are arguments against the diagnosis of COVID-19.

Report

The duration of the complaints is important as it determines the expected stage of the disease.

Discuss the findings, the chance of COVID-19 (CORADS) and the differential diagnosis.

The CT-findings of COVID-19 show overlap with other diseases like:

  • H1N1 influenza
  • Other viral pneumonia ; adenovirus, CMV
  • Organizing pneumonia
  • Acute interstitial pneumonitis