...

case 1 - distortion


The findings are:

  • Large distance between the base of MT1 and MT2 (yellow arrow).
  • Subluxation of the joint between cuboid and the base of MT5 (white arrow).

This means that there is a Lis Franck dislocation fracture.

CT confirms multiple fractures at the level of the TMT Joints.

The Lisfranc ligament complex runs between the medial cuneiform bone (C1) and the base of MT2 and MT3.

It consists of 3 components: 

  • a dorsal ligament
  • interosseous ligament
  • plantar ligament, which has insertions on the base of MT2 and MT3. 

The base of the metatarsals form an arch shape which provides stability to the mid foot.
Just like old window arches, a keystone is neccessary at the top to close the arch.
If this stone is removed, the whole arch collapses.

In the foot the base of MT2 is the keystone of the foot arch.
If it looses its connection with the other metatarsals, the foot arch will collapse.
This will also result in multiple avulsions of the ligaments joining the bases of the metatarsals. 

Go back to the cases...

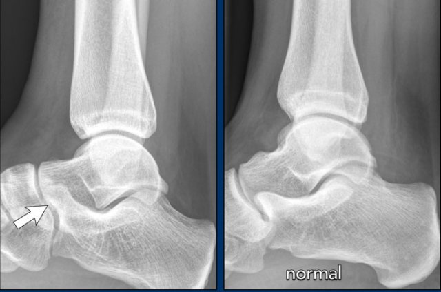
case 2 - chronic pain post ankle sprains

The findings are:

  • elongated anterior process of the calcaneus that articulates with the navicular bone.
  • the diagnosis is calcaneonavicular coalition.

The calcaneus and navicular bone do not normally articulate.
With osseous coalition, a bony bar that bridges the two bones is seen.

Compare to the normal situation.

With fibrous or cartilaginous coalition, the bones are in close proximity, both have irregular surfaces, and the anteromedial calcaneus is abnormally widened or flattened.
On lateral radiographs, elongation of the anterior dorsal calcaneus may simulate an anteater’s nose.
Hypoplasia of the talus is sometimes observed in calcaneonavicular coalition.

On the CT we see a coalition between the calcaneus and the os naviculare.
The CT shows sclerosis and subchondral cysts as a sign of ‘friction’ due to the neoarticulation.
The MRI shows bone marrow edema as a sign of a symptomatic coalition.

Go back to the cases...

case 3 - distortion

The findings are:

  • Avulsion of the medial pole of navicular bone
  • Fracture on the lateral side of the calcaneus


This means that there is an injury to the Chopart's joint, which has an S-shape and is formed by the articulation of the calcaneus  with the cuboid and the articulation of the talus with the navicular.

The movements in this joint are more extensive than in other tarsal joints and consists of a sort of rotation with the foot being carried medially (inversion) or laterally (eversion).

Inversion leads to distraction calcaneocuboidal en compression talonavicular often with plantarflexion, which can lead also to avulsion on the dorsal side of the talonavicular joint.

Eversion leads to distraction on the talonavicular side with either an avulsion of the tibial posterior tendon or an avulsion fracture and compression on the  calcaneocuboidal side (nutcracker fracture).

This means that when you see one fracture, there probably are more fractures in combination with ligamentous rupture and small avulsions.

In this case there was an eversion with distraction on the talonavicular side with an avulsion of the medial pole of navicular bone (yellow arrow) and compression on the calcaneocuboidal side leading to a nutcracker fracture (white arrow).

Go back to the cases...

case 4 - distortion

This is another case of a nutcracker fracture as a result of compression on the lateral side of the tarsus due to eversion in Chopart's joint.

The eversion can also lead to distraction on the talonavicular side with either avulsion of the posterior tibial tendon or avulsion of the medial pole of navicular bone, where the tendon attaches, as was seen in case 2. 

Go back to the cases...

case 5 - chronic pain

The findings are:

  • narrowing of the posterior subtalar joint with sclerosis
  • C sign


The subtalar joint consists of the anterior, middle, and posterior facets. Talocalcaneal fusion most commonly involves the middle facet at the level of the sustentaculum tali.
Talocalcaneal coalitions may be difficult to visualize on the standard radiographic views of the foot because of the complex orientation of the subtalar joint.

A number of secondary radiographic signs of talocalcaneal coalition have been described, including:

  • Talar beak
  • Narrowing of the posterior subtalar joint
  • Rounding of the lateral talar process
  • Lack of depiction of the middle facets on lateral radiographs.
  • C-sign

A talar beak occurs because of impaired subtalar joint motion, which results in the navicular overriding the talus. Periosteal elevation occurs at the insertion of the talonavicular ligament, and, ultimately, a cycle of osseous repair results in formation of the talar beak.

The “C sign,” is a C-shaped line on the lateral view, that outlines the medial talar dome and posteroinferior sustentaculum. The C sign results from bone bridging between the talar dome and sustentaculum, as well as the prominent inferior outline of the sustentaculum.
As the x-ray beam strikes the posteroinferior outline of the abnormal sustentaculum tangentially over a long distance, an uninterrupted “C” results. The C sign may be observed in both osseous and nonosseous coalitions. 

Images
On the T1W-image there is a bony coalition and ankylosis of the talus with the calcaneus.

Go back to the cases...

Ankle

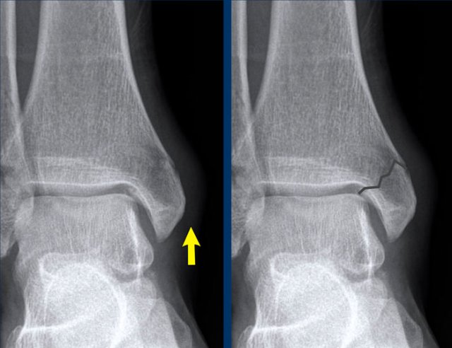
case 1 - distortion


The findings are:

  • vertical fracture of the medial malleolus (yellow arrow).
    This is not an avulsion or pull-off fracture, but a push-off fracture.
  • Maybe there is an avulsion of the lateral malleolus (white arrow), but that is not sure.
    However this does not matter as we will show in a moment.

A vertical fracture of the medial malleolus is a push-off fracture.

According to Lauge-Hansen the fracture results from an adduction force on the supinated foot
The lateral side is under extreme tension with stretch on the lateral collateral band.

In stage 1 there is either a rupture of the lateral collateral band or an avulsion fracture (which we also know as Weber A). 

In stage 2 there is always a vertical fracture of the medial malleolus and there has to be either an avulsion of the lateral malleolus or a rupture of the collateral band as these sequences always are in this order with first stage 1 and then stage 2.

This means, that whether we see a fracture on the lateral side or not, it doesn't matter.
There must be an injury to both the medial aswell as the lateral side and we now know that the ankle is unstable, because the ring of stability is broken in two places.

Here another unstable ankle fracture.

According to Lauge-Hansen this is SA stage 2.
According to Weber this is Weber A with additional fracture to the medial malleolus. 

Go back to the cases...

case 2 - distortion

In this case the most obvious finding is a fracture of the posterior malleolus.
This should urge you to look for other findings, since an isolated fracture of the posterior malleolus is extremely uncommon and probably does not exists.

You need to look at the algoritm for ankle fractures..

Algoritm for ankle fractures

In the algoritm a fracture of the posterior malleolus is either: 

  • Stage 3 of a Weber B fracture
    (also called Supination Exorotation according to Lauge-Hansen) or
  • Stage 4 of a Weber C fracture
    (also called Pronation Exorotation according to Lauge-Hansen)


This means that we have to look for other signs.
Since there is no sign of a Weber B fracture, this must be a Weber C fracture.

Are there any other signs that are in favor of a Weber C fracure?

Yes there is.
Now we recognize the soft tissue swelling on the medial side and a small avulsion, which is stage 1 of this injury.

We now can predict a high fibula fracture, which was confirmed by a radiograph of the whole lower leg.

Go back to the cases...

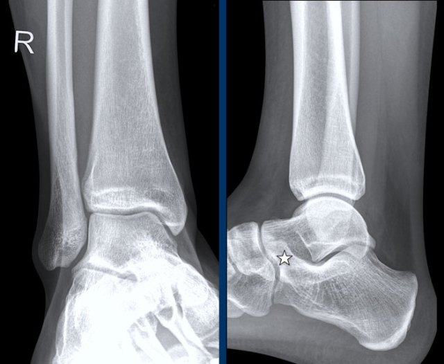
case 3 - distortion

This is another case of a fracture of the posterior malleolus.

Again we have to look at the algoritm for ankle fractures...

A fracture of the posterior malleolus is seen in a Weber B or a Weber C fracture.

In this case we have already seen an oblique fracture of the lateral malleolus, which means that we are dealing with a Weber b fracture.
Now we only need to determine which stage it is.
The most common stage 2 is stable, but stage 3 and 4 are unstable.

In this case we already in stage 3 and we wanna look for signs of stage 4.
A painful soft tissue swelling at examination would already indicate stage 4, but in this case there is more.

Maybe you want to go back to the radiograph before you continue reading...

In this case we are looking for a stage 4.

Now you notice the soft tissue swelling on the medial side (arrow).
The most important finding however is the irregularity and radiolucency of the upper part of the medial malleolus.
If you use your imagination, you can identify a fracure line here, which you would not have seen if you did not use the algoritm.

Go back to the cases...

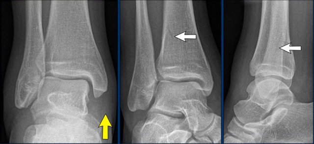
case 4 - distortion

The only thing that we notice is soft tissue swelling especially on the medial side.

Continue with the ankle injury algoritm...

Injury to the medial collateral bands can be seen in Weber B fracture stage 4.
However there are no signs of a WeberB fracture.

The other possibility is that there is a Weber C fracture with a high fibula fracture, that is not visible on the x-rays of the ankle.
The medial band rupture is stage 1 and the injury may stop there or continue to stage 2,3 or even 4.
We need additional x-rays of the entire lower leg to find out which stage we are dealing with.

Continue with the x-rays of the lower leg...

A high fibula fracture is seen (Maisonneuve).
Usually the patient will only feel pain at the level of the ankle since ligament ruptures are very painful and not notice the fibula fracture.

Go back to the cases...

case 5 - distortion

There is a subtle fracture visible on the Morrison's and the lateral view.
This is a large tertius fracture. 
There is no sign of a Weber B type of fibula fracture.

The combination of this fracture and the soft tissue swelling on the medial side indicate that we are dealing with a Weber C type of injury (or pronation exorotation injury according to Lauge-Hansen).

The medial collateral band injury is stage 1 and the tertius fracture is stage 4.
This means that this is an unstable fracture.
There must be a high fibula fracture.

Go back to the cases...