TNM classification 9ᵗʰ edition

Onno Mets and Robin Smithuis

Radiology department of the University Medical Center Amsterdam and the Alrijne Hospital, Leiden, the Netherlands

Publicationdate

This is a summary of the 9th Edition of TNM in Lung Cancer, which is the standard of lung cancer staging as per January 1st, 2025.

It is issued by the IASLC (International Association for the Study of Lung Cancer) and replaces the TNM 8th edition.

Introduction

The purpose of TNM classification is to have a consistent nomenclature for the anatomic extent of a tumor, which facilitates communication on outcomes and applicability of data to an individual patient.
The TNM classification system for lung cancer applies to both non-small cell lung carcinoma (NSCLC) as well as all neuroendocrine neoplasms ranging from small cell lung carcinoma (SCLC) to typical carcinoid.
It does not apply to pulmonary sarcomas, lymphomas, and other rare tumors.

Tables of the TNM 9ᵗʰ edition

TNM 9ᵗʰ edition

The 9th edition of lung cancer classification is shown in the table .

There are only minor differences from the 8th edition.
These are shown in red: 

  • No changes to the T component.
  • Subdivision of N2 involvement into N2a (single N2 station) and N2b (multilevel stations).
  • Subdivision of M1c status into M1c1 (multiple metastases in a single organ system) and M1c2 (metastases in multiple organ systems).


These changes result in a rearrangement of some stage groups as shown in the next table. 

Several prefix can be used that specify the context of the TNM classification.

  • Clinical stage (c) is determined by all information available pretreatment.
  • Pathologic stage (p) is defined by the results after surgical resection only, and should not be used outside this context.
  • Restaging (y) is used after part or all of the treatment has been given.

It can be applied both in the absence of resection (ycTNM) or after resection (ypTNM).

It is further suggested to add an evaluation categorization (‘E’) to indicate the type of testing involved: 

  • E1 means physical information
  • E2 imaging information
  • E3 tissue information (3a: cytology; 3b: histology)
  • E4 resection.

So for example, cT2aN2aM0 E3a means that cytologic proof of N status was used to stage the extent of disease pretreatment, while pT1cN0M0 E4 means that staging was based on definite resection.

Subsolid lesions

Subsolid lesions are lung cancer with ground glass morphology, which represents lepidic growth (ie. tumor cells proliferating along the surface of alveoli, without invasive growth).
Subsolid lesions may or may not exhibit an internal solid component, which is thought to represent the invasive portion of the tumor.
For subsolid lung cancers the radiology report should always mention both total lesion size and – if present - also solid component dimensions, as both are of importance.
This should be obtained on contiguous thin slice (<1.5 mm) CT reconstructions in lung window.

Subsolid lung cancers are classified as shown in the figures on the left.

Pure Ground Glass
When the total size is ≤30 mm, subsolid lesions with pure ground glass morphology are classified based on greatest total lesion dimension, and can at most be classified as ‘in situ’ cancer (cTis).
When total lesion size is over the threshold of 30 mm, subsolid lesions are always at least cT1a, regardless of pure ground glass or part-solid morphology.

Ground Glass with Solid component
If an internal solid component is present, subsolid lesions are no longer classified based on total lesion size alone, but on the greatest dimension of the solid component present, which presumes to represent the invasive component as seen on histopathology.

For example, a total lesion size of ≤ 30 mm with a small solid component of ≤ 5 mm is classified as cT1mi (minimally invasive). However, a total lesion size of > 30 mm with the same ≤ 5 mm solid component is classified as cT1a, as the total lesion size is over the 30 mm threshold for cT1a classification.
Depending on invasive component size, part-solid lesions may be classified as cT1b (solid component of 11-20 mm) or even cT1c (solid component of 21-30 mm) as well.

Subsets of T, N and M categories are grouped into certain stages, because these patients share similar prognosis.
For example, cT1N0M0 disease (stage IA) has a 5-year survival of ~82%.
On the other end of the spectrum, M1c disease (stage IVB) has a 5-year survival of ~7%.

 The changes in TNM9 result in a rearrangement of T and N categories included in the stage groups IIA, IIB, IIIA, and IIIB (see Table).
Other categories are unchanged from the prior edition. 

T-staging

T1 - T4

T1-tumor

Tumor size is determined by the greatest dimensions of invasive tumor, based on either pathological information or clinical data (ie. the solid component on contiguous thin slice CT reconstructions, in lung window).   
Please note that the largest tumor dimension may be found on multiplanar reconstructions instead of the axial plane.

T1-tumor

  • ≤ 3 cm, surrounded by lung/visceral pleura, or in lobar or more peripheral bronchus.
  • T1mi  Minimally invasive adenocarcinoma.
  • T1a  ≤ 1 cm.
  • T1b  >1 cm but ≤ 2 cm.
  • T1c  >2 cm but ≤ 3 cm.

T1 tumor

A typical T1 tumor in the left lower lobe (23 mm, cT1c), completely surrounded by pulmonary parenchyma.    

T2a-tumor is a tumor with any of the following features: 

  • > 3 cm but ≤ 4 cm.
  • Invades visceral pleura or adjacent lobe.
  • Involves main bronchus (up to but not including the carina) or
  • Associated with atelectasis or obstructive pneumonitis extending to the hilar region, involving either part of or the entire lung.

T2b-tumor

  • > 4 cm but ≤ 5 cm 
  • with or without other T2a tumor features.

T2 tumor

A typical T2 tumor with atelectasis/pneumonitis of the left lower lobe up to the hilum, due to involvement of the left lower lobe bronchus (31 mm, pT2a).    

T3-tumor is a tumor with any of the following features:       

  • >5 cm but ≤ 7 cm in greatest dimension.
  • Invades mediastinum, parietal pleura or chest wall.     
  • Invades pericardium, phrenic nerve, or azygos vein.      
  • Invades thoracic nerve roots (ie. T1, T2) or stellate ganglion.
  • Separate tumor nodule(s) in the same lobe.

Invasion of other structures by the primary tumor (e.g. phrenic nerve, aorta, chest wall) counts to determine the T category.
Direct invasion into lymph nodes is classified as lymph node involvement.
Contrarily, direct invasion of an extrathoracic organ (e.g. liver) is not counted as M1 involvement.

T3 tumor 

A typical T3 tumor in the right upper lobe with invasion of the chest wall (59 mm, cT3).

T4-tumor

  • > 7 cm
  • or invasion mediastinum, thymus, trachea, carina, recurrent laryngeal nerve, vagus nerve, esophagus, diaphragm
  • or invasion heart, great vessels, intrapericardial pulmonary arteries/veins, supra-aortic arteries, brachiocephalic veins, subclavian vessels, vertebral body, lamina, spinal canal, cervical nerve roots, brachial plexus.      
  • or separate nodules in different ipsilateral lobe

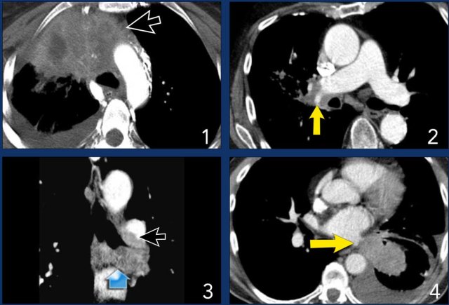
T4 tumor 

  1. A typical T4 tumor in the right upper lobe with invasion of the mediastinum.
  2. Invasion of the right pulmonary artery.
  3. Invasion of the carina.
  4. Invasion of the left atrium.

Staging multiple sites of malignancy

Sometimes multiple sites of lung cancer are suspected in a single patient. 
If possible, try to establish whether the multifocality is based on: 

  1. Two synchronous lung cancers
  2. Separate tumor nodules of the same malignancy
  3. Multifocal ground glass  adenocarcinoma
  4. Pneumonic-type adenocarcinoma

These patterns are distinguished because they exhibit different biological behaviour, and different rules of TNM classification apply to them.

1. Synchronous primary malignancies

  • Separate TNM for each tumor.


Figures

This was a T4N0M0 in RLL.
This was a T2bN1M0 in LUL

2. Separate tumor nodules of the same malignancy

  • T3 if in same lobe
  • T4 if same side, but different lobe
  • M1a if in contralateral lobe 
  • Single N and M for all 


Figures

This was a T3N2aM0 in RLL.
T3 is based on the separate nodule in the same lobe.

3. Multifocal groundglass or lepidic lesions

  • T-stage according to the most T-dominant lesion
  • Single N and M for all  
  • (#/m) indicates multiplicity. When there are 3 lesions it is indicated as 3/m.

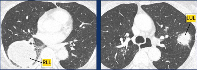
Figures
This was a T1aN0M0 (2/m).
T1a is based on the dominant lesion in the RLL

4. Diffuse pneumonia-like malignancies

  • T3 if in same lobe
  • T4 if same side, different lobe
  • M1a if in contralateral lobe
  • Single N and M for all

Figures
This was a T4N1M0.
T4 is based on the lesion in the RLL

N-Staging

Adapted from the American Thoracic Society mapping scheme Adapted from the American Thoracic Society mapping scheme

Regional Lymph Node Classification System

Regional lymph node involvement in lung cancer includes the intrathoracic, scalene, and supraclavicular nodes.
Less common involvement of for example parasternal or axillary nodes is regarded metastatic.

The IASLC lymph node classification is used:

  1. Low cervical, supraclavicular and sternal notch nodes
  2. Upper Paratracheal.
  3. Pre-vascular 3A: nodes not adjacent to the trachea like the nodes in station 2, but anterior to the vessels.
    Pre-vertebral 3P: nodes not adjacent to the trachea, but behind the esophagus, which is prevertebral (3P).
  4. Lower paratracheal nodes.
  5. Subaortic (A-P window) nodes 
  6. Para-aortic (ascending aorta or phrenic) nodes.
  7. Subcarinal.
  8. Paraesophageal.
  9. Pulmonary Ligament: nodes lying within the pulmonary ligaments.
  10. Hilar nodes: Nodes located outside the mediastinum.

CT is unreliable in staging lymph nodes in patients with NSCLC regardless of the threshold size that is chosen. PET-CT is much more reliable in determining the N-status, although false-positives do occur in patients with for example sarcoid, TB and other infections. PET-CT has a high negative predictive value.    

Level 1: There is an important separation to be made between level 1 (N3) and level 2 and 3 nodes (N2). The lower border of level 1 is the clavicles bilaterally and, in the midline, the upper border of the manubrium.

Level 2R: The upper border is the apex of lung and in the midline the upper border of the manubrium. The lower border is intersection of the caudal margin of the innominate vein with the trachea. The medial border is along the left lateral border of the trachea.

Level 2L: From the apex of the lung and the upper border of the manubrium to the superior border of the aortic arch.

Level 4R: Includes right paratracheal and pretracheal nodes extending to the left lateral border of trachea. From the intersection of caudal margin of innominate vein with the trachea to the lower border of the azygos vein.

Level 4L: Nodes to the left of the left lateral border of the trachea, but medial to the ligamentum arteriosum. From the upper margin of the aortic arch to the upper rim of the left main pulmonary artery.

Level 5: Subaortic nodes lateral to ligamentum arteriosum. These nodes are not located between the aorta and the pulmonary trunk, but lateral to these vessels.

Level 10R: Hilar nodes up to the inferior border of the azygos vein, including those in a precarinal position.

Level 10L: Hilar nodes extend all the way up to the upper border of the left pulmonary artery.

N1 - N3 nodes

N1  Metastasis in ipsilateral intrapulmonary, peribronchial or hilar lymph nodes, including nodal involvement by direct extension.

N2a  Metastasis to a single ipsilateral mediastinal or subcarinal lymph node station.

N2b  Metastasis to multiple ipsilateral mediastinal and/or subcarinal lymph node stations.

N3 Metastasis in contralateral hilar or mediastinal lymph nodes or in scalene or supraclavicular lymph nodes .

N1 nodes
N1-nodes are ipsilateral nodes within the lung and hilar nodes.
N1 alters the prognosis but not the management.

Image
T2a tumor (33 mm) in the right lower lobe with ipsilateral hilar node metastasis (N1).    

N2 Nodes
N2-nodes represent ipsilateral mediastinal or subcarinal lymphadenopathy.

  • N2a - Single N2 station involvement
  • N2b - Multiple N2 station involvement


Image
Right sided tumor with lymph node metastases in multiple (4R and 2R) ipsilateral mediastinal stations (N2b).

N3-stage disease. N3-stage disease.

N3 Nodes
N3-nodes represent contralateral mediastinal or contralateral hilar lymphadenopathy or scalene or supraclavicular nodes.
This is considered irresectable disease.

Image
Right sided tumor with N3 lymph node metastases, including the contralateral mediastinal 4L and 5 station.    

Two patients with N3-disease. Two patients with N3-disease.

These images are of two different patients with lung cancer in the right lung.

Images
There are lymph nodes on the contralateral side.
If these lymph nodes contain tumor cells, it means N3 disease.

Images of a patient with a right sided tumor.
There are N3-nodes on the contralateral side and in the right supraclavicular region.
Scroll through the images.

For a tumor in the right lung the N-stages are:

  • N1 - Ipsilateral peribronchial and/or hilar lymph nodes 10R-14R
  • N2 - Ipsilateral mediastinal and/or midline lymph nodes 2R, 3a/p, 4R, 7, 8R, 9R
  • N3 - Contralateral mediastinal and/or hilar, as well as any supraclavicular lymph nodes 1, 2L, 3aL, 4L, 5, 6, 8L, 9L, 10L-14L


For a tumor in the left lung the N-stages are:

  • N1 - Ipsilateral peribronchial and/or hilar lymph nodes 10L-14L
  • N2 - Ipsilateral mediastinal and/or midline lymph nodes 2L, 3a/p, 4L, 7, 8L, 9L
  • N3 - Contralateral mediastinal and/or hilar, as well as any supraclavicular lymph nodes 1, 2R, 3aR, 3pR, 4R, 8R, 9R, 10R-14R

M-Staging

M-staging is based on the presence of metastases, their location and multiplicity.
M0 is no metastases and M1 means distant metastases.
A distinction is made between regional or intrathoracic metastatic disease (M1a) and distant metastatic disease, either solitary (M1b) or multiple (M1c), in a single organ system (M1c1) or in multiple organs (M1c2).

Figure
M1a: Regional (or intrathoracic) metastatic disease defined as malignant pleural or pericardial effusion or nodules, as well as contralateral separate pulmonary nodules.

M1b is a single extrathoracic metastasis in a single organ system. It is important to emphasize, that an organ system denotes all sites of an organ system distributed throughout the body, or both sides in case of a paired organ.

This means that multiple lesions in different sites of the skeletal system or the skin is M1c1 disease.
However, multiple lesions in both the skeletal system and the adrenals is M1c2 disease.

Figure
M1b: Single extrathoracic metastasis in a single organ system.
This can be in a non-regional lymph node (without a liver metastasis) or a single metastasis in the liver (without a non-regional lymph node).

Figure
M1c1: Multiple extrathoracic metastases in a single organ.

Almost every organ may be involved in metastatic disease.
Metastases are commonly seen in the adrenals, lymph nodes, the brain, bones and liver.


Figure
M1c2: Multiple extrathoracic metastases in multiple organs systems.