Foot and Ankle cases

Willemijn Huijgen, Loes Huygen and Robin Smithuis

Haga hospital in the Hague, OLVG in Amsterdam and Alrijne hospital in Leiderdorp

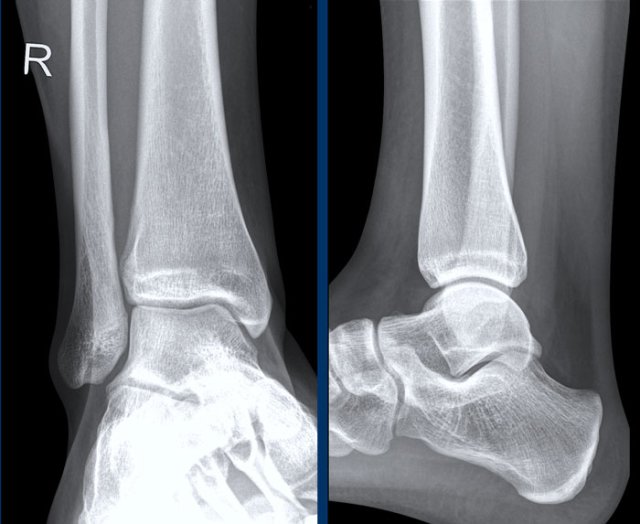
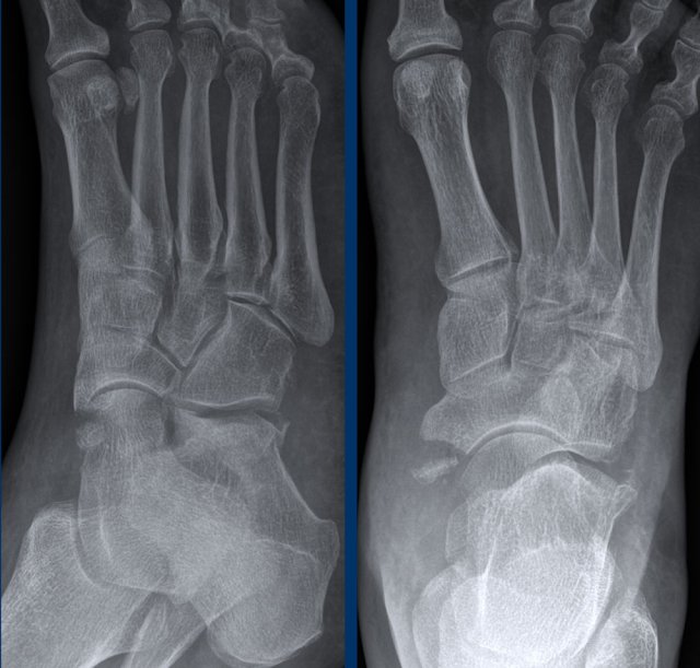
case 1 - foot distortion


33 year old patient with a foot injury and swollen midfoot.
Click on image for larger view.

What are the findings and what does it mean?

Go to the discussion...

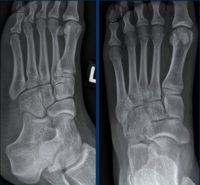
case 2 - chronic pain

17 year old girl with chronic pain in ankle and foot.
She had recurrent ankle sprains.

What are the findings?
Click on image for larger view.

Go to the discussion...

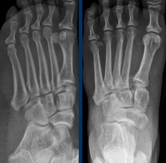
case 3 - foot distortion


What are the findings and what does it mean?
Click on image for larger view.

Go to the discussion...

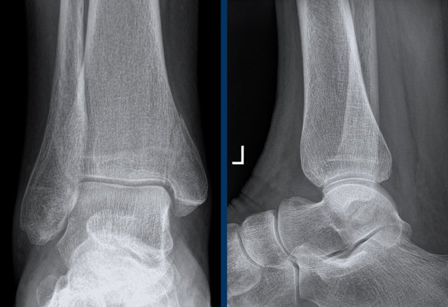
case 4 - foot distortion

What are the findings and what does it mean?
Click on image for larger view.

Go to the discussion...

case 5 - chronic pain

What are the findings and what does it mean?
Click on image for larger view.

Go to the discussion...

Ankle

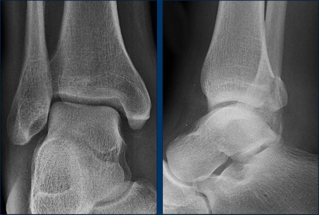
case 1 - ankle distortion


What are the findings and what does it mean?
Click on image for larger view.

Go to the discussion...

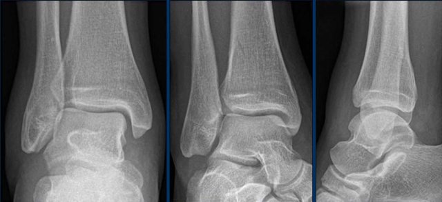
case 2 - ankle distortion


What are the findings and what does it mean?

Click on image for larger view.

Go to the discussion...

case 3 - ankle distortion

What are the findings?

What is the stage of this injury?

Click on the image for larger view.

Go to the discussion...

case 4 - ankle distortion

What are the findings?

What is the stage of this injury?

Click on the image for larger view.

Go to the discussion...

case 5 - ankle distortion


What are the findings and what does it mean?
Click on image for larger view.

Go to the discussion...